Послуги та FQA

Які умови необхідні для отримання фарфорового зливного металу коронки?

Якщо зуби не досить акуратні або білі, це сильно вплине на зовнішній вигляд тих, хто переслідує красу. Щоб мати акуратний та білий набір зубів, можна вибрати, щоб отриматипорцелянові коронкидля вдосконалення. Порцелянові коронки, що підготуються до металу, також є методом відновлення зубів, і їх природний ефект був визнаний багатьма людьми.

Уроджені бідні зуби роблять любителів краси дуже неприємними.Порцелянові коронкиє більш ранньою формою відновлення зубів, яка може покращити різні стоматологічні проблеми. З розвитком технічного рівня матеріали порцелянових корон, стали більш різноманітними, міцнішими та естетично приємними.


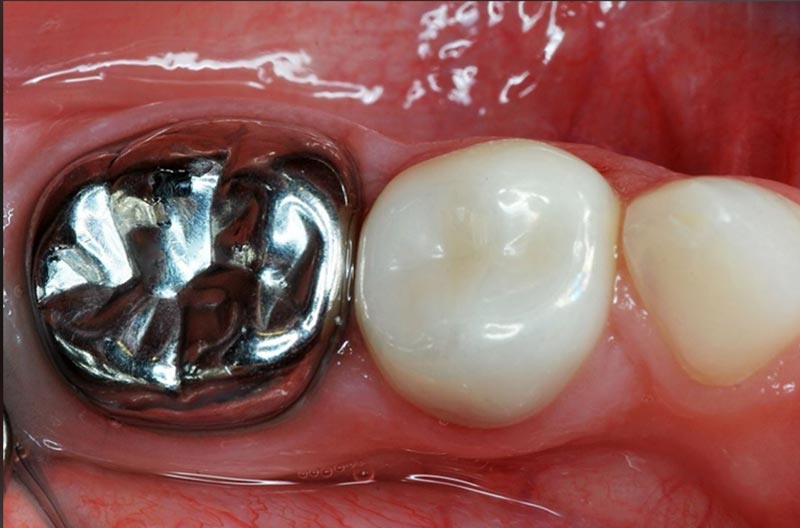
Якщо ви хочете отримати порцелянові коронки, спочатку повинні забезпечити здоров'я пародонтальних тканин, без пероральних інфекцій або захворювань, таких як накопичення тартару, і без зовнішнього пошкодження структури зубів. Тоді ви можете отримати фарфор, що змащувались до металу.


Коронки з фарфором, що підготуються до металу, в основному придатні для відсутності одного зуба, а також у зоні заднього зуба. Якщо ви хочете отриматипорцелянові коронки, бажано, щоб кількість відсутніх зубів становила два або менше.

Схожі новини
Залиште мені повідомлення
X
Ми використовуємо файли cookie, щоб запропонувати вам кращий досвід перегляду, аналізувати трафік сайту та персоналізувати вміст. Використовуючи цей сайт, ви погоджуєтеся на використання файлів cookie. Політика конфіденційності
Відхиляти прийняти